Трехсантиметровую иглу в мозгу у женщины обнаружили врачи на Сахалине
Специалисты предполагают, что инородное тело в голове их пациентки появилось еще в младенчестве, и таким способом родители девочки пытались ее убить

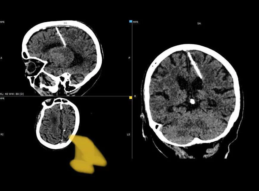
Фото: Минздрав Сахалинской области
Трехсантиметровую иглу обнаружили сахалинские врачи в мозгу у 80-летней женщины.
Как сообщает пресс-служба областного минздрава, инородное тело в голове у пациентки нашли во время проведения компьютерной томографии.
«Женщина живет с инородным телом с рождения, таким образом родители решили умертвить ребенка в сложное военное время. Такие случаи в голодные годы были не редкостью: младенцу в родничок вставлялась тонкая игла, которая повреждала мозг. Родничок быстро затягивался, скрывая следы преступления, а малыш погибал», – отметили в минздраве.
Как уточнили специалисты, игла проникла в левую теменную долю, однако, несмотря на это, девочка выжила. Более того, на протяжении жизни сахалинку даже не беспокоили головные боли, и врачи обнаружили иглу случайно. Сейчас женщина чувствует себя хорошо, угрозы ее здоровью нет. Медики решили не удалять инородное тело, так как, по их мнению, операция может ухудшить состояние пациентки.
Ранее РБК Приморье сообщал о том, что во Владивостоке врачи нашли у восьмилетней девочки гигантское образование размером с трехлитровую банку и удалили его, сохранив ребенку важные органы.
Еще больше новостей в телеграме РБК Приморье. Подписывайтесь.






